
Espaço dedicado a divulgação das produções científicas realizadas no âmbito do Lacen/ES, contribuindo para o avanço da ciência, ações de vigilância epidemiológica e promoção da saúde pública.
O estudo investigou a transmissão extra-amazônica do vírus Oropouche (OROV) na região Sudeste, mais especificamente no bioma de Mata Atlântica. Por meio da vigilância genômica e de análises filodinâmicas de 40 genomas virais, obtidos de amostras clínicas entre 2024 e 2025, os autores avaliam a transmissão sustentada do vírus na região ao longo de dois anos, consolidando o Espírito Santo (ES) como um hotspot extra-amazônico.
O perfil de citocinas circulantes na fase aguda da febre do Oropouche pode apresentar assinatura inflamatória distinta, com aumento de mediadores pró-inflamatórios, enquanto outros mostram reduzidos. As análises evidenciam interações interconectadas entre citocinas ao longo da progressão da doença, não havendo correlação entre os níveis dos mediadores inflamatórios e a carga viral. Esses achados, sugerem mecanismos imunopatogênicos relevantes para a compreensão da evolução da doença e para o desenvolvimento de medidas terapêuticas.
Genomic and epidemiologic investigation of arboviral coinfections, Espírito Santo, Brazil
Identificou-se os primeiros casos de coinfecção por Oropouche e Dengue fora da área endêmica, além do primeiro registro de tripla infecção por arbovírus no Espírito Santo. Apesar disso, as coinfecções foram raras (0,2%, n = 44), principalmente DENV/CHIKV (75%), com 2 novos casos de DENV-1/DENV-2/CHIKV e 1 de OROV/DENV-2. O sequenciamento resultou em 12 genomas virais completos, identificando linhagens distintas de DENV-1, DENV-2, CHIKV e OROV.
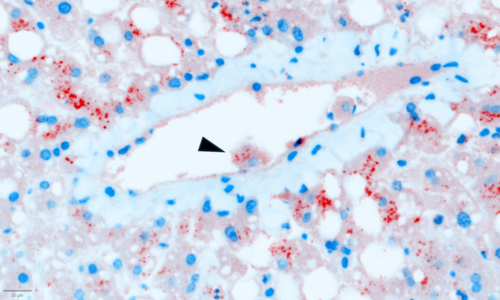
Neuroinvasive Oropouche virus in a patient with HIV from extra-Amazonian Brazil
O estudo descreve o primeiro caso neuroinvasivo ocasionado pelo vírus Oropouche fora da Amazônia, em um paciente que vive com HIV, evidenciando a capacidade neurotrópica desse vírus e o potencial agravado dessa arbovirose em indivíduos imunocomprometidos. O reforço da consciência clínica, da capacidade de diagnóstico e da vigilância é essencial para mitigar os efeitos crescentes deste arbovírus negligenciado.
Unravelling the pathogenesis of Oropouche vírus
Foi registrado o primeiro caso fatal de infecção pelo vírus Oropouche no Espírito Santo, identificado por meio de um estudo multidisciplinar. O sequenciamento genômico revelou a linhagem viral M1L2S2, associada a alta carga viral, falência múltipla de órgãos e intensa resposta inflamatória hepática. O trabalho reforça a importância do diagnóstico precoce e da pesquisa científica aplicada à saúde pública.
Emergence of Oropouche Virus in Espírito Santo State, Brazil, 2024
O vírus Oropouche (OROV), antes restrito à Amazônia, expandiu-se para o Espírito Santo, onde foram confirmados 339 casos entre março e junho de 2024. O estudo revelou a transmissão local em áreas agrícolas da Mata Atlântica, especialmente em municípios com climas tropicais e cultivo intensivo de cacau, café robusta, coco e pimenta, destacando a necessidade de vigilância reforçada e medidas de controle direcionadas.
Expansion of Oropouche virus in non-endemic Brazilian regions: analysis of genomic characterisation and ecological drivers
O vírus Oropouche (OROV), antes restrito à Amazônia, espalhou-se para outras regiões do Brasil em 2024, com surtos principalmente em pequenos municípios agrícolas e uma frequência de casos de 3,9 vezes maior em municípios do que em municípios grandes. O estudo genômico revelou múltiplas introduções da nova linhagem amazônica, associadas a áreas de cultivo de banana e mandioca, indicando que fatores ecológicos locais favorecem a disseminação do vírus e reforçando a necessidade de vigilância ativa.
Molecular characterization of a new SARS-CoV-2 recombinant cluster XAG identified in Brazil
Pesquisadores identificaram no Brasil uma nova linhagem recombinante do SARS-CoV-2, resultante da combinação entre as variantes Omicron BA.1.1 e BA.2.23, denominada XAG. O estudo revelou quatro mutações inéditas e confirmou, por análises filogenéticas, a origem comum dessa nova cepa, destacando a importância da vigilância genômica contínua para detectar variantes emergentes.
Unusual SARS-CoV-2 intrahost diversity reveals lineage superinfection
O estudo analisou milhares de amostras brasileiras de SARS-CoV-2 entre 2020 e 2021 e identificou nove casos de coinfecção por diferentes linhagens do vírus, um fenômeno raro, mas relevante. Essas infecções simultâneas podem influenciar a evolução viral e favorecer o surgimento de novas variantes, reforçando a importância da vigilância genômica contínua durante a pandemia.